


ホワイトニングとは、歯の表面に付いた色素を落としたり、歯の中にある色素を分解して歯を明るくし、自然な歯の白さを再現できる治療方法です。
ホームホワイトニングは、忙しくて歯科医院に来院ができない方に最適なホワイトニングです。
ホワイトニングトレーにホワイトニング剤を塗布して、歯にはめ込み、就寝中、2~8時間ホワイトニングトレーを装着します。2週間ほどで効果を実感して頂けます。


ホワイトニング基本セット
ホワイトニングトレー+ホワイトニングジェル2本=12,600円
ホワイトニングトレー … 片顎6,300円
ホワイトニングジェル … 3,150円 / 1本

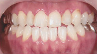
症例1. [30代後半・女性] ホームホワイトニング3週間


症例2. [30代後半・男性] ホームホワイトニング2週間

